Virtual Reality as a Pediatric Drug
Virtual Reality as a Pediatric Drug @journalfeed.org
Virtual Reality as a Pediatric Drug @journalfeed.org

Funtabulously Frivolous Friday Five 286 @lifeinthefastlane.com
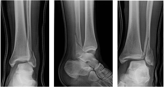
Salter-Harris Classification @pedemmorsels.com
TXA vs Packing for Epistaxis @journalfeed.org
EM@3AM: Le Fort Fractures @emDocs.net
Virtual Reality Reduces IV-Start Pain in Children @journalfeed.org
Pediatric Trauma Pitfalls @pedemmorsels.com
Ultrasound Case 098 @lifeinthefastlane.com
An unusual wrist injury @lifeinthefastlane.com

Ep 124 Burn and Inhalation Injuries: ED Wound Care, Resuscitation and Airway Management @emergencymedicinecases.com
Ultrasound Case 096 @lifeinthefastlane.com
Examination of the Hand and Wrist @nejm.com

What’s the Diagnosis? @emdaily.cooperhealth.org
Eponymous ankle and talus injuries @emDocs.net

WEIGHT ESTIMATION GUIDELINES – PART 2 @dontforgetthebubbles.com

What’s the diagnosis? @emdaily.cooperhealth.org