Dental Pain
Back to Basics: Dental Pain @emdaily.cooperhealth.org
Metacognition: Why I make algorithms
Metacognition: Why I make algorithms @emDocs.net
Basic Principles of Ultrasound Physics and Artifacts Made Easy
Traumatic Finger Injuries
What’s the diagnosis?

What’s the diagnosis? @emdaily.cooperhealth.org
Lokale anesthesie van de duim
Must Not Miss Pediatric Fractures

Must Not Miss Pediatric Fractures @canadiem.org
Pediatric Elbow
#EMConf: Pediatric Elbow @emdaily.cooperhealth.org
Funtabulously Frivolous Friday
Funtabulously Frivolous Friday Five 314 @lifeinthefastlane.com
The effectiveness of US in the detection of fractures in adults
Back to Basics: Ocular Ultrasound
Verpleegkundig specialisten Spoedeisende hulp
Back to Basics: Ocular Ultrasound Part 1 and Part 2 @emdaily.cooperhealth.org
Anaphylaxis Guidelines for 2020
Anaphylaxis Guidelines for 2020 @journalfeed.org
POCUS Physics
Pocus physics aan de hand van 8 videos’s, hier alvast de eerste videos (door http://www.litfl.com)
What’s the diagnosis?

What’s the diagnosis? @emdaily.cooperhealth.org
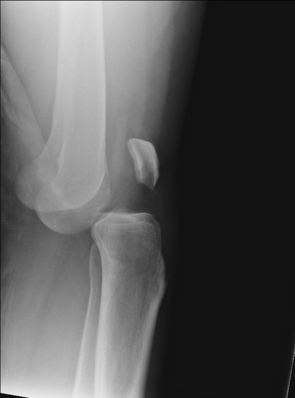
Osgood-Schlatter disease
Osgood-Schlatter disease @lifeinthefastlane.com
What’s the diagnosis?

What’s the diagnosis? @emdaily.cooperhealth.org
Anterior Shoulder Dislocation
EM@3AM: Anterior Shoulder Dislocation @emDocs.net
US of the Knee
Acute Necrotizing Ulcerative Gingivitis
EM@3AM: Acute Necrotizing Ulcerative Gingivitis @emDocs.net
