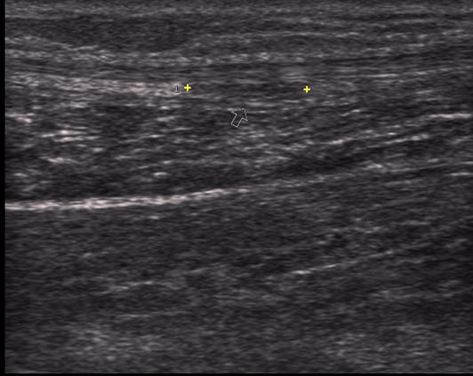
Tear of the musculotendinous junction of an achilles tendon Gepost op 11 juni 2017 door netwerkvsseh Tear of the musculotendinous junction of an achilles tendon @ theultrasoundsite.co.uk Dit delen: Delen op X (Opent in een nieuw venster) X Share op Facebook (Opent in een nieuw venster) Facebook Delen op LinkedIn (Opent in een nieuw venster) LinkedIn E-mail een link naar een vriend (Opent in een nieuw venster) E-mail Afdrukken (Opent in een nieuw venster) Print Vind-ik-leuk Aan het laden... Gerelateerd