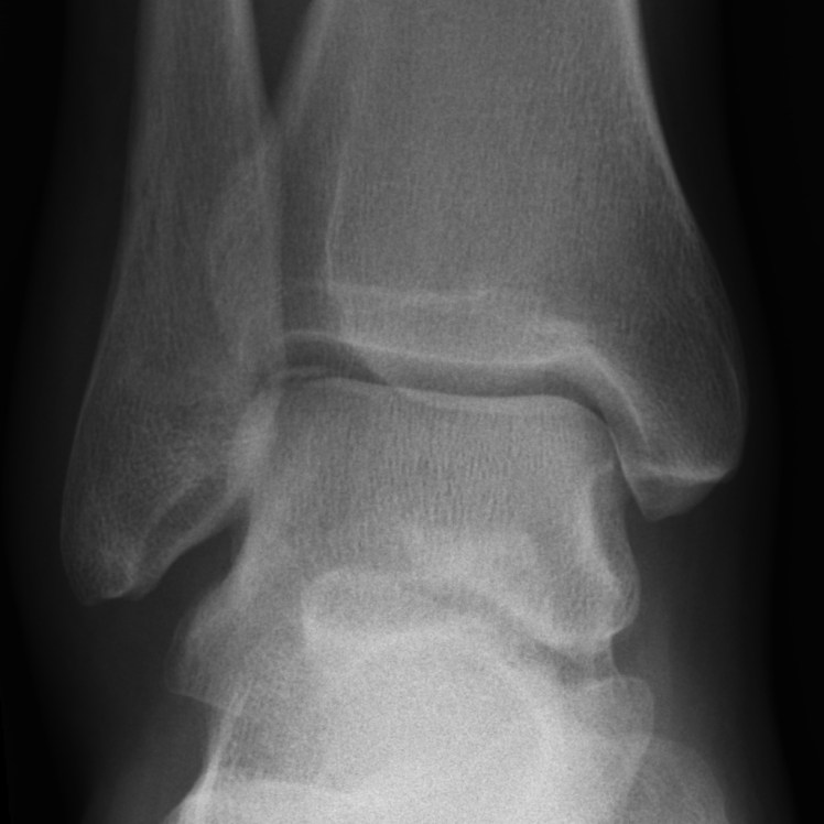
What’s the diagnosis? Gepost op 30 augustus 2017 door netwerkvsseh 40 yo male unable to weight-bear following an ankle inversion injury. What’s your diagnosis? @raediopaedia.org Dit delen: Delen op X (Opent in een nieuw venster) X Share op Facebook (Opent in een nieuw venster) Facebook Delen op LinkedIn (Opent in een nieuw venster) LinkedIn E-mail een link naar een vriend (Opent in een nieuw venster) E-mail Afdrukken (Opent in een nieuw venster) Print Vind-ik-leuk Aan het laden... Gerelateerd