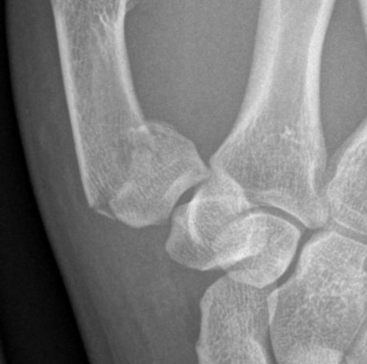
17yo male who punched someone’s face. What is this thumb injury called? Gepost op 21 september 201721 september 2017 door netwerkvsseh What is this thumb injury called? @radiopaedia.org Dit delen: Delen op X (Opent in een nieuw venster) X Share op Facebook (Opent in een nieuw venster) Facebook Delen op LinkedIn (Opent in een nieuw venster) LinkedIn E-mail een link naar een vriend (Opent in een nieuw venster) E-mail Afdrukken (Opent in een nieuw venster) Print Vind-ik-leuk Aan het laden... Gerelateerd