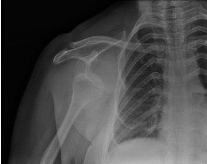
Interscalene Nerve Block for Shoulder Dislocation Gepost op 3 januari 2019 door netwerkvsseh US Probe: Interscalene Nerve Block for Shoulder Dislocation @emDocs.net Dit delen: Delen op X (Opent in een nieuw venster) X Share op Facebook (Opent in een nieuw venster) Facebook Delen op LinkedIn (Opent in een nieuw venster) LinkedIn E-mail een link naar een vriend (Opent in een nieuw venster) E-mail Afdrukken (Opent in een nieuw venster) Print Vind-ik-leuk Aan het laden... Gerelateerd