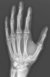
What’s the Diagnosis? Gepost op 1 oktober 2020 door netwerkvsseh What’s the Diagnosis? By Dr. Chris Smith @emdaily.cooperhealth.org Dit delen: Delen op X (Opent in een nieuw venster) X Share op Facebook (Opent in een nieuw venster) Facebook Delen op LinkedIn (Opent in een nieuw venster) LinkedIn E-mail een link naar een vriend (Opent in een nieuw venster) E-mail Afdrukken (Opent in een nieuw venster) Print Vind-ik-leuk Aan het laden... Gerelateerd