Ketofol for Kids!
Ketofol for Kids! @journalfeed.org
Ketofol for Kids! @journalfeed.org
EM@3AM: Testicular Rupture @emDocs.net
POCUS versus Ophthalmologic Exam for Papilledema @ultrasoundgel.org
Critical Cases – Traumatic Hyphema! @emdaily.cooperhealth.org
Glenohumeral Dislocations Rapid Review Video @emergencymedicinecases.com
Should Otitis Media with Effusion Get Antibiotics? @journalfeed.org
POCUS for Peritonsillar Abscess @journalfeed.org
REBEL Core Cast 54.0 Wound Care I – Foreign Bodies @rebelem.com
EM@3AM: Papilledema @emDocs.net

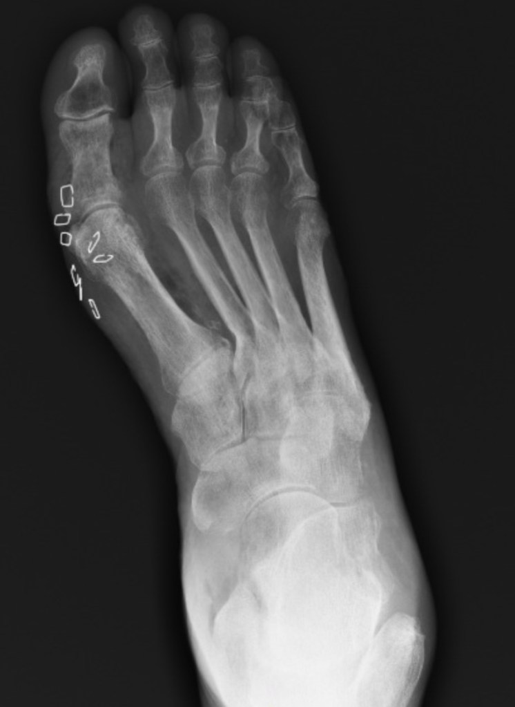
What’s the diagnosis? By Dr. Patrice Baptista @emdaily.cooperhealth.org
Epistaxis – Spoon Feed Version @journalfeed.org

Visual Wednesdays: Pulmonary Contusions @emDocs.net
Parotitis and Sialadenitis @pedemmorsels.com
Angle-closure glaucoma: Don’t strike out @madmimi.com
Bursting at the Skull: Skull Fractures @emDocs.net

Septic Arthritis of the Hip @ultrasoundgel.org